おとな矯正治療について。

てらお総合歯科クリニックは5歳頃から70歳代ころまでの幅広い方に矯正治療を提供しています。

おとな矯正では全体を治す「全顎矯正」と気になる部分だけ治す「部分矯正」を選べます。

 

ライフスタイルとご希望を総合に考慮し、全顎矯正か部分矯正か、また、ワイヤー矯正かマウスピース矯正を選択するため、カウンセリングを重視しております。

カウンセリングは矯正担当医(浜谷桂佑)のみが行いますので、事前にご予約をお願いいたします(矯正カウンセリングは無料です)。

当院には矯正診断のためのレントゲン撮影装置があります。

矯正用レントゲンセファロ

分析の過程


適切な治療計画の立案のためには、精密な検査が必要となります。当院では、矯正治療を希望されている方に対し、矯正治療専用のレントゲン(セファロ)と3次元レントゲンであるCTを撮影し、これら含めた多くの検査結果を複合的に判断して、治療計画を作成しております。

 

検査・診断料:27500円

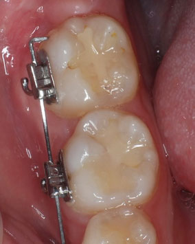
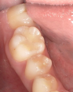
部分矯正(気になるところだけ治す)

部分矯正とは、全ての歯を治すわけではなく、気になっているところだけピンポイントで治すための矯正治療です。治療期間も短く、治療費も抑えられます。

ワイヤー矯正とマウスピース矯正のいずれも選択可能です。

治療費20万円〜(具体的な治療費に関しては、検査結果に基づいてお伝えいたします)

※デメリット

部分的な治療となるため、全体の噛み合わせの改善はできません。

マウスピース矯正部分矯正
ワイヤー矯正部分矯正

ワイヤー矯正

長い歴史があり、最もみなさんに馴染み深いのがこのワイヤー矯正かと思います。

ワイヤー矯正のメリットは、適応範囲も非常に広く、基本的にはどのような症例の治療も行えます。患者さん自身で調整などする必要ためお忙しい方やズボラな方にはおすすめです。

 

デメリットとしては、装置が目立つことがマウスピース矯正との大きな違いとなります。また、取り外しできる装置ではないため、清掃しにくかったり痛みがあっても我慢するしかないという点があります。また、マウスピース矯正と異なり口内炎ができやすいです。

 

基本治療費:片顎400,000円 上下の場合800,000円

調整・経過観察料(毎回): 4,400円

 

その他、治療計画に応じて追加オプションあり

例)矯正用インプラント 27500円/本

一部反対咬合と叢生を伴う症例を改善した症例。


顕著な上顎前突症例を改善した症例。


上下に著しい叢生があり抜歯をして改善した症例。

上下の前歯部に叢生があった中学生の方。

術前

術後


マウスピース矯正

てらお総合歯科クリニックでは「クリアコレクト」と「SureSmile(デンツプライ)」を扱っております。

※症例によって使い分けております

 

マウスピース矯正のメリットは、

・透明な装置なので見た目が気にならない

・ワイヤー矯正のような異物感が少ない

・お口の中に傷ができにくい

・装置を外してしっかりと隅々まで歯磨きができる

・デジタルで治療後のイメージを確認できる

・ホワイトニングも同時に進められる

 

一方で、デメリット は

・治療できない症例がある(この場合はワイヤー矯正で治療します)

・担当医の指示通りマウスピースを使用しないと、治療効果がでない

・治療途中で虫歯の治療などが必要となると、マウスピースを新しく作り直す必要がある

 

基本治療費:片顎400,000円 両顎800,000円

調整・経過観察・クリーニング料(毎回):3,300円

 

その他治療計画に応じてオプションあり

例)矯正用インプラント 27500円/本

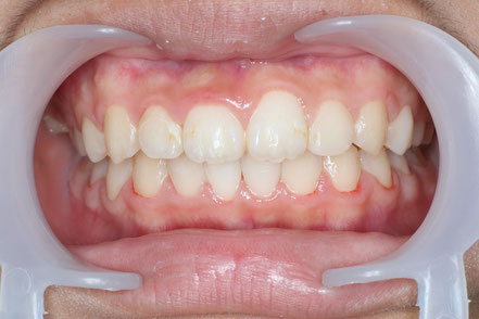
マウスピース装着による口元の写真


上顎正中離開を改善した症例


上下ともに全体に軽度〜中程度の叢生を認めた方。

矯正用インプラント(アンカー)の応用

てらお総合歯科クリニックでは、治療期間の短縮、効率的な治療、複雑な治療の単純化を目的として、矯正用インプラント(アンカー)も使用しています。歯がないときに使用するインプラントの約半分の長さ、かつ、太さは1/3以下の非常に小さなものです。

1本 ¥27,500円(税込)


アンカーを2本応用して、伸びてきた(挺出してきた)大臼歯を押し込んだ(圧下)した症例。

アンカーを1本応用して、内側に倒れ込んでしまっている1本だけをピンポイントで起こした症例。


矯正治療に伴うデメリットについて。

矯正治療は装置によって歯を動かし多くメリットがある一方、少なからずデメリットもあります。

検査の上、矯正治療によるデメリットよりもメリットの方が大きいと判断した場合に矯正治療をご提供いたします。

デメリットにはいくつかありますが、主なものは以下の通りです。

  • 不快感・痛みの出現
  • 歯根吸収(歯の根っこが短くなる)
  • 歯と歯茎の不調和(歯肉の退縮など)
  • アレルギー(装置の素材による)
  • 虫歯や歯周病のリスクが上がる
  • 矯正治療後の後戻り

詳しくは担当医より説明いたしますので、まずは、ご相談ください。

マウスピース型矯正装置による治療にともなう一般的なリスク・副作用

・機能性や審美性を重視するため自費(保険適用外)での診療となり、保険診療よりも高額になります。
・正しい装着方法で1日20時間以上使用しないと、目標とする治療結果を得られないことがあるため、きちんとした自己管理が必要になります。
・ご自身で取り外せるため、紛失することがあります。
・症状によっては、マウスピース型矯正装置で治療できないことがあります。
・お口の中の状態によっては、治療計画どおりの結果が得られないことがあります。
・装着したまま糖分の入った飲料をとると、虫歯を発症しやすくなります。
・治療によって、まれに歯根吸収や歯肉退縮が起こることがあります。
・食いしばりの癖が強い方の場合、奥歯が噛まなくなることがあります。
・治療途中で、ワイヤーを使う治療への変更が必要になることがあります。
・お口の状態によっては、マウスピース型矯正装置に加え、補助矯正装置が必要になることがあります。
・治療完了後は後戻りを防ぐため、保定装置の装着が必要になります。
・薬機法(医薬品医療機器等法)においてまだ承認されていない医療機器です。日本では完成物薬機法対象外の装置であり、医薬品副作用被害救済措置の対象外となることがあります。

歯列矯正用咬合誘導装置(プレオルソ)を用いた治療にともなう一般的なリスク・副作用

・薬機法(医薬品医療機器等法)において承認された医療機器です。
・機能的・審美的に仕上げるための治療なので、自費(保険適用外)での診療となり、保険診療よりも高額になります。
・取り外せるので、装着時間を守るためのセルフコントロールが必要です。
・お子さまが治療に協力的でない場合、良好な治療結果を得られないことがあります。
・毎日の装着を怠ると、良好な治療結果を得られないことがあります。
・正しい使い方ができていないと、かえって悪い歯並びになってしまうことがあります。
・この装置だけで、お口周りの問題をすべて解決できるわけではありません。